Rosewood Periodontics & Dental Implants

Now Booking for 2026 – Get in Touch

Examples of our work

gallery

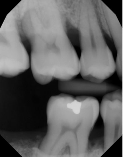
Peri-implantitis case (bone graft)

before

Peri-implantitis case (bone graft)

Peri-implantitis case (bone graft)

after

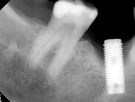
Peri-implantitis case (bone graft)

before (4mm vertical bone height)

before

4mm vertical bone height

over 6mm bone height gained before placing implant in the same day)

after

Over 6mm bone height gained before placing implant in the same day

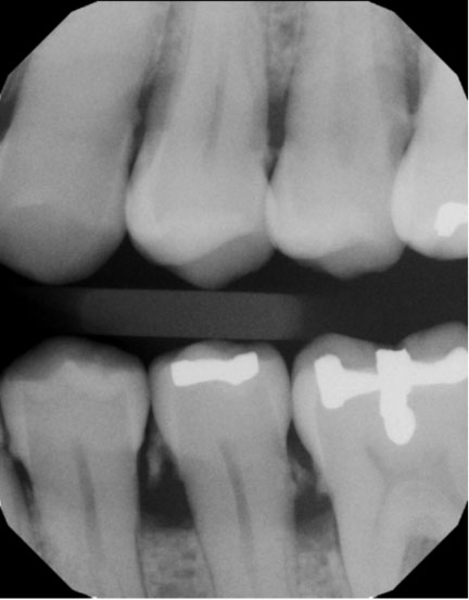
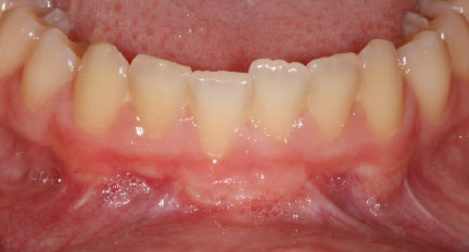
SRP before

before

Scaling & root planning

SRP after

after

Scaling & root planning

SRP after

before

Scaling & root planning

SRP before

after

Scaling & root planning

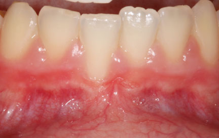
before frenectomy with free gingival graft

before

Frenectomy with free gingival graft

after frenectomy with free gingival graft

after

Frenectomy with free gingival graft